El bebé está bien protegido
Durante esta etapa del embarazo, el embrión parece un pequeño renacuajo en forma de C. La membrana amniótica ya está formada y se encargará de proteger al bebé durante todo el embarazo.
Aunque el producto es pequeño, ya se le están formando los primeros vasos sanguíneos para crear el sistema circulatorio. Los tubos cardíacos se desarrollan para formar un corazón de dos cámaras, con un ventrículo y una aurícula. Al final de la semana, el corazón del bebé empezará a latir [1].
El sistema nervioso central también comienza a desarrollarse. Los segmentos del cerebro y la médula espinal se forman a partir del tubo neural central y el cerebro desarrolla vesículas cerebrales que crecerán hacia los hemisferios izquierdo y derecho.
El sistema endocrino también se está desarrollando, comenzando por la tiroides, la paratiroides y la hipófisis anterior. Esta semana también comienzan a desarrollarse las estructuras básicas de los sistemas respiratorio y digestivo, junto con la tráquea, los pulmones, el hígado y el páncreas.
Comienzan a formarse unos hoyuelos donde se formarán las orejas del bebé.
Lo que podemos ver en un ultrasonido
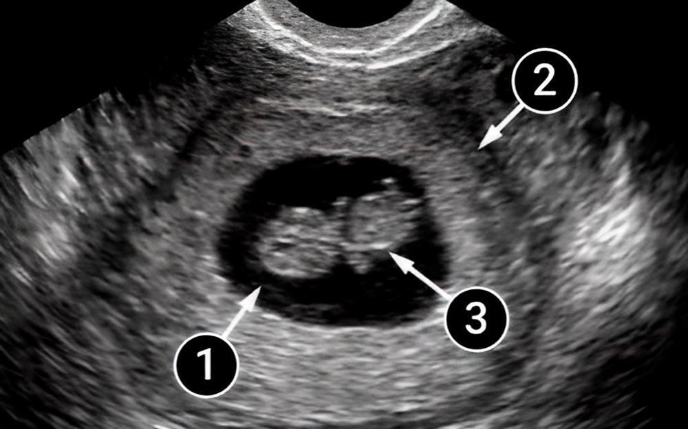
En esta foto, se delinea el contorno del creciente útero. El bebé aparece como un pequeño renacuajo flotando en el líquido amniótico. El cerebro aparece como dos puntos blancos, que crecerán hacia los hemisferios derecho e izquierdo. Los pequeños puntos blancos en la parte superior e inferior son el comienzo de los brazos y las piernas del bebé.
La pequeña mancha oscura es el corazón en desarrollo del bebé.
saco amniótico
útero
embrión
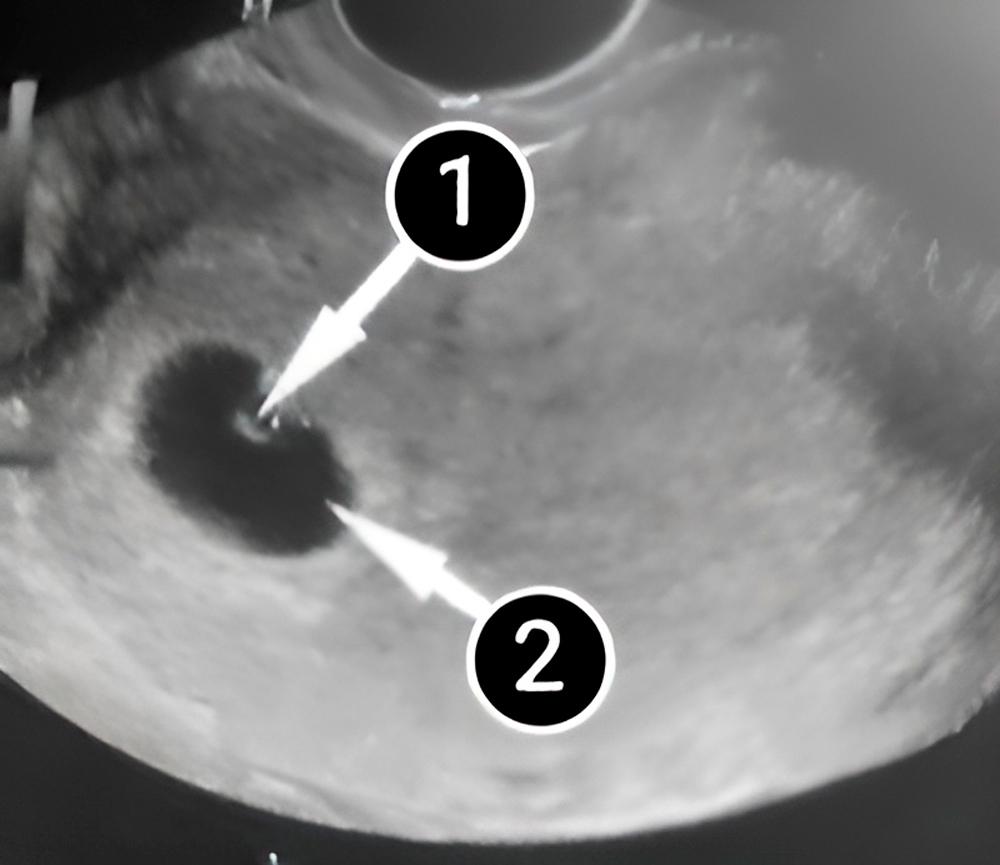
En la siguiente foto, se ve el saco amniótico, que se encuentra cerca de la pared derecha del útero. El embrión, que en esta imagen parece una pequeña semilla, está adherido a la pared del saco amniótico.
La forma del bebé es fácil de distinguir. Al lado del cuerpo del bebé se encuentra el saco vitelino, que le proporciona los nutrientes que necesita para crecer.
embrión
saco amniótico
1. Fetal Development. Mark A Curran, M.D., F.A.C.O.G. http://perinatology.com/Reference/Fetal%20development.htm





