Tu bebé ya hace caritas
Los ojos de su bebé ahora pueden distinguir la luz de la oscuridad. Aunque están bien cerrados, tu bebé responde a la luz brillante del exterior del útero [1].
Hace muchas expresiones faciales conmovedoras, incluso fruncir el ceño y sonreír; pero tales movimientos son involuntarios, ya que aún no puede controlar sus músculos faciales [1].
Mientras está despierto, el bebé saluda y endereza los brazos, dobla y estira las piernas. Es posible que aún no sientas estos movimientos, en especial si este es tu primer embarazo.
Su esqueleto continúa osificándose o endureciendo para ser un hueso propiamente dicho, mientras que los dientes de leche se están desarrollando y recubriendo con tejidos dentarios.
Todos los sistemas corporales están desarrollados, y ahora su estructura y función continúan mejorando. El bebé continúa creciendo y ganando peso.
Si estás esperando gemelos
Los bebés ya están moviendo activamente sus brazos y piernas, cada uno en su propia burbuja. Pero todavía no puedes sentir estos movimientos porque en este momento la cantidad de líquido amniótico está aumentando lentamente. Esto permite que los bebés crezcan y se acostumbren al útero sin molestarse uno al otro. El líquido es un muy buen amortiguador, sin embargo, si los bebés comparten un solo saco fetal, es posible que comiences a sentir los primeros movimientos.
¿Qué se puede ver en la ecografía/ultrasonido?
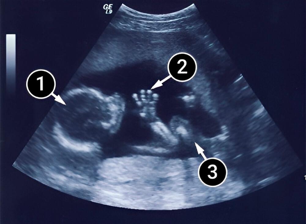
Esta imagen muestra al bebé acostado de espaldas, mirando un poco hacia ti. Su perfil es bastante visible, con frente, nariz y mentón. Su mano derecha casi parece estar realizando un gesto acogedor, con la palma, la muñeca y los cinco dedos visibles.
Sus pies descansan contra la pared uterina. La rodilla derecha es visible, mientras que la izquierda está muy oscurecida.



