Tu bebé patea y se mueve
Flotando en el líquido amniótico, tu bebé ahora puede llevarse las manos a la cara, estirar las piernas o flexionarlas para chuparse el dedo del pie [1].
El cerebro continúa con su desarrollo: la corteza se diferencia, los hemisferios se aíslan uno del otro y del bulbo raquídeo. El sistema nervioso ya se encuentra completamente dividido en central (lo que pertenece por lo general al cráneo) y periférico (los nervios que van hacia las extremidades partiendo de la columna vertebral) [2].
La cabeza del bebé ya es redonda, pero sigue siendo desproporcionadamente grande. A pesar de que sus ojos están completamente cerrados [3, 4], tu bebé puede empezar a percibir la luz. Asimismo, en esta semana se forma el diafragma, que se trata de una membrana muscular que separa la cavidad torácica de la cavidad abdominal [5]. También se desvanece poco a poco el cuerpo lúteo y transfiere sus funciones a la placenta [6].
¿Qué se puede ver en la ecografía/ultrasonido?
En esta imagen el bebé está flotando en el líquido amniótico y apoyado, con toda comodidad, en las paredes del saco amniótico. La imagen de perfil del bebé te brinda la oportunidad de apreciar el botón nasal y el pliegue nasal; así como las mejillas, la boca e, incluso, una pequeña oreja ubicada justo un poco por debajo de la posición habitual.
La cabeza del bebé continúa siendo muy grande, casi la mitad del tamaño del cuerpo. Pero ya está ligeramente erguida y se ve un pequeño cuello. En el área del tórax, puedes ver un punto: éste es el corazón. Las piernas no son visibles, pero se alcanza a vislumbrar el contorno de la mano derecha.
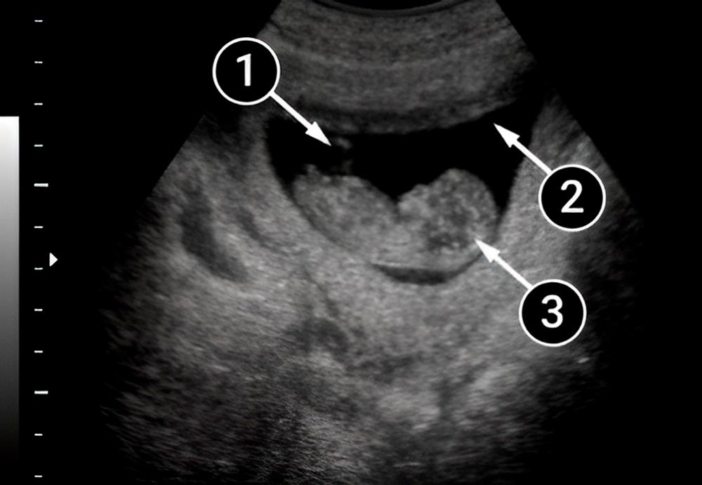
El bebé nada en el líquido amniótico, que se representa en la imagen como un gran contorno oscuro. La espiral es el cordón umbilical que proporciona una conexión estrecha entre la madre y el niño. La sangre fluye a través de sus vasos conectados con la placenta, misma que proporciona nutrición y oxígeno para su desarrollo.



