Tu bebé está ganando fuerza
La piel del bebé está arrugada y es translúcida y muy fina. Es de color rojo rosado porque la sangre en los capilares es visible a través de él [1]. Al mismo tiempo, el cuerpo del bebé se vuelve más redondeado.![]()
Aparecen pliegues en brazos, piernas y debajo de las nalgas debido a la acumulación de grasa subcutánea. Y el corazón del bebé late a una frecuencia de 120 a 160 latidos por minuto y el médico puede escuchar este ritmo con un estetoscopio obstétrico o una máquina Doppler.
A esta edad, el bebé se considera viable en caso de un parto prematuro. El nacimiento en esta etapa es bastante indeseable e implica grandes riesgos, pero los bebés prematuros sobreviven en los centros obstétricos modernos. Sus pulmones están subdesarrollados y no pueden respirar por sí mismos, pero son amamantados con éxito gracias a dispositivos de soporte vital [2].
Durante la semana corriente, el cuerpo de la madre suministra al bebé una gran cantidad de calcio, que el bebé necesita para el crecimiento óseo; por lo tanto, es muy importante que incluya alimentos ricos en calcio en su dieta. La leche, el queso, las almendras y los vegetales verdes como el brócoli son excelentes fuentes de calcio. Muchas futuras mamás necesitan calcio adicional [3, 4], así que consulte a su médico si requiere de suplementos de calcio.
El tiempo restante del embarazo es necesario para que el bebé crezca y se fortalezca para la vida posterior. Continúa comiendo alimentos saludables y variados, también descansa y relájate lo suficiente: tu cuerpo está trabajando a plena capacidad como fuente de nutrientes.
Si estás esperando gemelos
Los bebés ya son bastante grandes y fuertes, como dos mazorcas de maíz. Y estarás bajo una supervisión especialmente estrecha por parte de tus médicos, ya que el riesgo de parto prematuro en embarazos múltiples es mayor. Esta semana probablemente tendrás un ultrasonido adicional para ver que todo esté bien con los bebés [5].
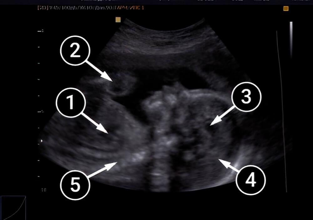
¿Qué se puede ver en la ecografía/ultrasonido?
En la imagen, el bebé se recuesta de costado y en el lado derecho de la foto se ve claramente su cabeza. El área oscura en su centro es el cuerpo calloso, un plexo de fibras nerviosas que divide la corteza cerebral en los hemisferios izquierdo y derecho. Asimismo, se ve una mano que se acerca a la boca; lo más probable es que el bebé quiera chuparse el dedo. Su mano está apretada en un puño.
La mancha oscura en el área del pecho es el corazón, y el arco de luz, ubicado justo debajo, es la curva de la columna.




