Tu bebé cada día se mueve más
El bebé mueve sus brazos y piernas, hace una mueca, se chupa un dedo, frunce el ceño, traga, tiene hipo, abre la boca, parpadea y juega con el cordón umbilical [1]. Es posible que hayas notado, o que pronto notarás, que el movimiento del bebé se vuelve más pronunciado si alguien habla en voz alta junto a ti o si se escucha música a todo volumen.
Por otro lado, el sistema digestivo del bebé continúa mejorando. En el intestino, el meconio se ha acumulado: el meconio son heces primordiales, que consisten en células del tracto digestivo, bilis y células epiteliales muertas que recubren la membrana mucosa de los órganos internos [2].
Asimismo, el tejido graso subcutáneo continúa formándose de manera que la piel se endereza de manera gradual, perdiendo arrugas y el color rojo brillante de las primeras semanas. La grasa subcutánea, por lo general, se deposita alrededor del cuello, el pecho y los riñones. En la parte externa, la piel todavía está cubierta con una capa de grasa primordial que la protege de la irritación y que retiene el calor.
Si estás esperando gemelos
Tus bebés ahora tienen el tamaño de pepinos grandes. Se mueven bastante y juegan con el cordón umbilical. Si tienen un saco fetal compartido, existe un alto riesgo de que los cordones umbilicales se enreden. Por lo tanto, las madres de gemelos idénticos a menudo tienen que someterse a ultrasonidos adicionales [3]. Si cada gemelo tiene su propio saco fetal, entonces no hay riesgos adicionales en este momento.
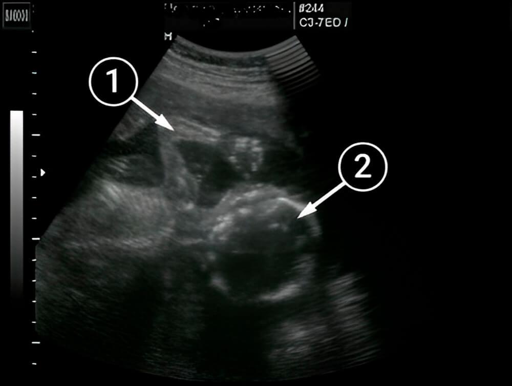
¿Qué se puede ver en la ecografía/ultrasonido?
El bebé se acuesta de espaldas a la pantalla, lo que permite ver el hombro izquierdo, la axila, el antebrazo, el codo y la muñeca. El cuello es más fácil de apreciar, alrededor del cual la grasa subcutánea comienza a depositarse poco a poco.



