¡Prepárate para conocer a tu bebé!
¡El bebé podría llegar en cualquier momento! Todos sus órganos están completamente formados y funcionando. A estas alturas, su piel es lo suficientemente gruesa como para proteger sus órganos internos y regular el intercambio de calor [1]. Una capa de grasa subcutánea hace que el bebé esté más redondito y relleno [2].
Los pulmones ahora producen más surfactante, lo que ayudará al bebé a respirar de forma independiente una vez que nazca [3].
La actividad respiratoria ha mejorado gracias al desarrollo de los centros correspondientes del sistema nervioso central. Estos continuarán desarrollándose incluso después de que nazca. Los bebés recién nacidos respiran de forma intermitente e irregular, incluso pueden hacer pausas de hasta cinco segundos [3].
Para esta semana, el bebé maneja claros estados de actividad y descanso. En la fase activa, sus ojos se mueven rápidamente, mientras que en la fase pasiva permanecen casi inmóviles. Estos períodos están sincronizados con el ritmo cardíaco y los movimientos de la cabeza, brazos y piernas.
Una vez nacido el bebé, el médico evaluará su salud mediante la escala de Apgar, que considera la frecuencia cardíaca, el ritmo respiratorio, el tono muscular, los reflejos y el color de la piel [3].
Si tu pareja espera gemelos
Los gemelos deben ser llevados al pecho lo antes posible después del parto. Por supuesto, es más difícil manejar a dos, por lo que debes estar ahí para ella. El apoyo de la familia y del personal médico también es esencial. Cada uno de los bebés puede tener su propio estilo y ritmo de alimentación; uno puede amamantar seguido y poco, y el otro durante más tiempo pero con menos frecuencia. En los primeros días, es mejor poner a los bebés al pecho por turnos para poder notar sensaciones particulares y entender qué tan bien se prende cada bebé del pezón y qué tan activamente amamantan [4]. Más adelante, tu pareja podrá entrenarse para amamantarlos simultáneamente. Esto, por supuesto, dependerá de lo que ella decida ¡y de qué tanto cooperen los bebés!
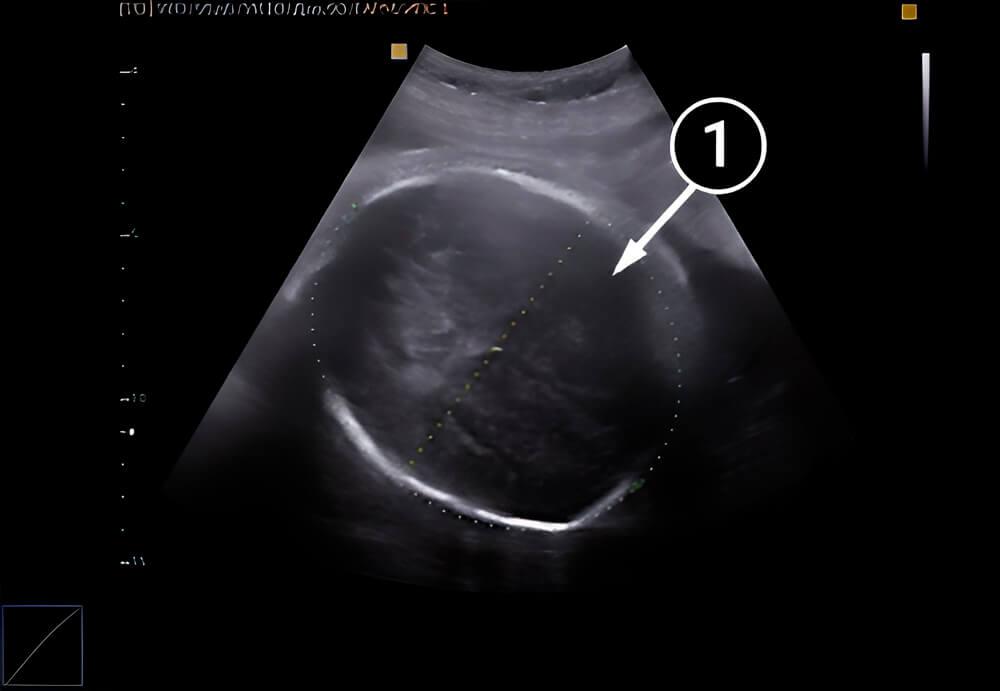
Lo que podemos ver en un ultrasonido
Aquí vemos la cabeza del bebé desde arriba. La línea de puntos indica su circunferencia y diámetro. Mide cerca de 96 mm.




