Las facciones del bebé son más distinguibles
En este punto del embarazo, la cara del bebé se redondea más y aparecen mechones de pelo en la parte superior de su cabeza [1]. Su cuerpo está cubierto de un vello suave llamado lanugo [1], que ayuda a proteger su delicada piel del líquido amniótico al retener la lubricación natural de la piel. También retiene el calor corporal.
A medida que la corteza cerebral se desarrolla, aparecen nuevos reflejos. Los movimientos del bebé se vuelven más complejos y se empieza a tocar los brazos, las piernas y la parte delantera del cuerpo.
El páncreas comienza a producir insulina y el bazo produce linfocitos. El hígado, que antes funcionaba como órgano del sistema circulatorio, ahora asume su función digestiva. El estómago, los intestinos y la vesícula biliar empiezan también a trabajar.
En los niños, se forma la próstata y en las niñas, los ovarios comienzan a descender de la cavidad abdominal hacia la cavidad pélvica. Los genitales externos se desarrollan en ambos sexos, pero pueden no ser visibles en un ultrasonido.
El líquido amniótico circula y se renueva de 8 a 10 veces al día [2]. Esto mantiene un ambiente naturalmente estéril y una composición química saludable para el crecimiento del bebé.
Si tu pareja espera gemelos
En este momento, si no fuera por el ultrasonido, es posible que no hubieran imaginado que esperaban gemelos. Los bebés aún tienen suficiente espacio y se desarrollan de la misma manera que todos los bebés [3].
Cada uno es del tamaño de un limón pequeño y no interfieren entre sí en lo absoluto.
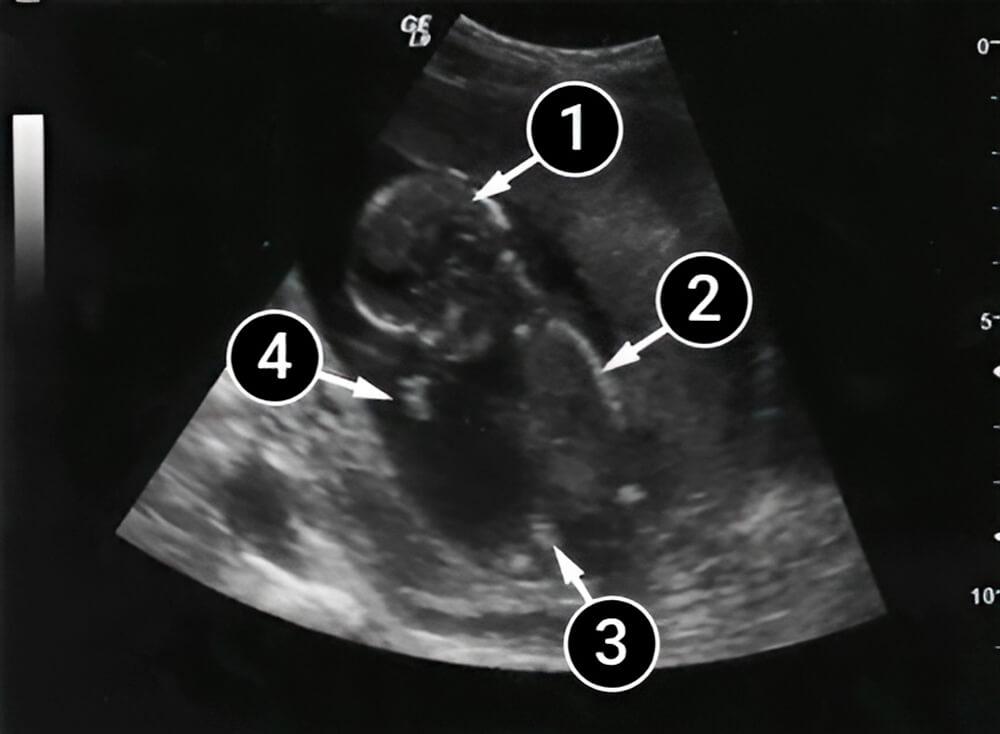
Lo que podemos ver en un ultrasonido
Las piernas del bebé están dobladas debido a la rápida formación de sus sistemas esquelético y muscular. ¡Ahora quiere moverse y ya puede tocar y rozar su propio cuerpo!
Los dedos de los pies, los talones y la columna son visibles en el ultrasonido. Los brazos del bebé están doblados y podemos ver tanto el codo como la mano izquierda, incluida la palma. También podemos ver los huesos del cráneo, el cuello y los hombros.






