El desarrollo fetal de tu bebé llega a su primera meta
Por otro lado, todos los órganos internos del bebé están formados y más o menos listos para llevar a cabo sus funciones [1]. Él ya ve, oye y sabe cómo tragar y chupar.
Ahora bien, el sistema nervioso del bebé continúa produciendo neuronas y mejorando las conexiones neuronales. Su corteza cerebral forma surcos y circunvoluciones, y la diferenciación de las divisiones funcionales de la corteza continúa. El sistema endocrino, que produce hormonas para todo, desde el metabolismo y el sueño hasta la regulación del crecimiento y la función sexual, se realiza a plena capacidad, desempeñando su papel en el trabajo de todos los órganos y sistemas del bebé.
En este momento, no todas las madres sienten los movimientos del bebé [1]. Pero si ya los están notando, pueden volverse más pronunciados.
Si estás esperando gemelos
Los bebés empiezan a estar más apretados en su espacio, por lo que probablemente puedas sentir sus movimientos claramente, mientras que las madres con embarazos únicos aún no sienten nada.
¿Qué se puede ver en la ecografía/ultrasonido?
La imagen muestra al bebé al final de la semana 19 de desarrollo. Se acuesta sobre su lado izquierdo, frente a la pantalla.
Un contorno claramente definido de la cabeza permite diferenciar, a detalle, los huesos frontales, los huesos nasales emparejados y la barbilla o mentón. Las mandíbulas superior e inferior están separadas por una franja estrecha: se trata de la boca.
la placenta
manos
cabeza
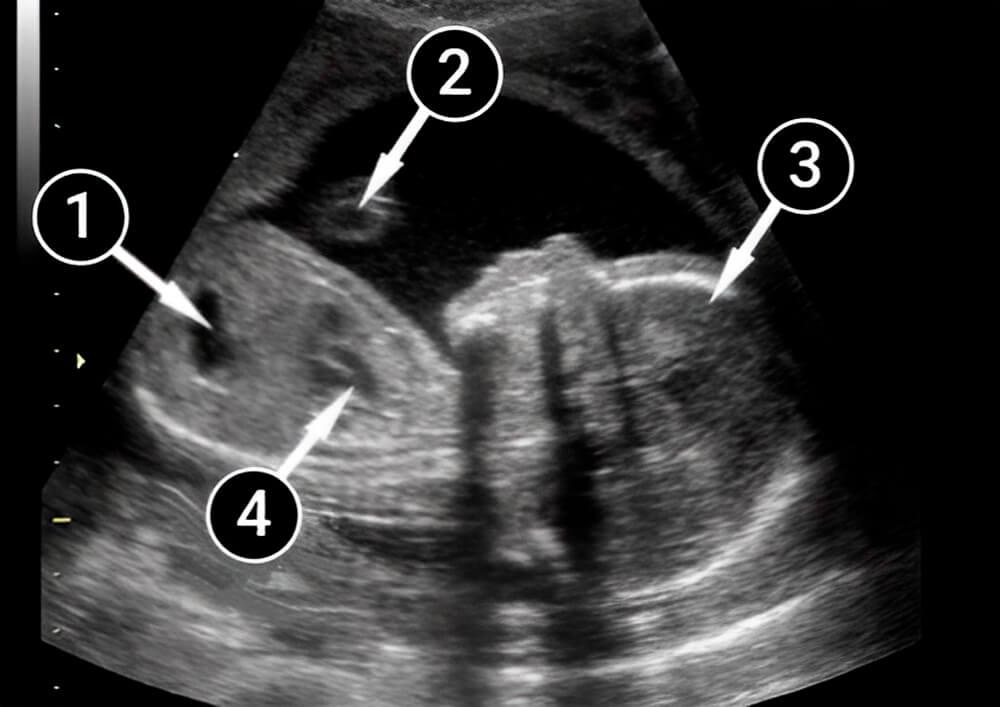
En la siguiente imagen, el corazón está claramente dividido en aurículas y ventrículos. Por encima de la columna vertebral, en la parte inferior de la imagen, el vaso principal (la aorta), apenas se nota.
Asimismo, el estómago es visible con claridad, se aprecia como un óvalo oscuro en la imagen. En lo profundo del líquido amniótico, puedes ver la mano del bebé.
estómago
mano
cabeza
corazón
En la siguiente imagen puedes ver gemelos. Uno de ellos se sienta en primer plano mientras que el otro se encuentra un poco más arriba. Los pequeños pies y sus deditos son visibles del bebé en primer plano; mientras que las extremidades del otro bebé son parcialmente distinguibles.
piernas
cabeza
Brewer S. The Pregnant Body Book. Dorling Kindersley Publishing Staff, 2012, p. 136, 139.



