El bebé puede abrir los ojos
El cuerpo del bebé ya está desarrollado de manera proporcional; con la cara, el cabello, las cejas y las pestañas completamente formados.
Esta semana el bebé abrirá los ojos por primera vez [1], podrá notar cambios en la iluminación y pronto comenzarán a parpadear. Por ahora sus ojos son azules, pero en poco tiempo cambiarán de color según sus genes. El color de los ojos puede seguir cambiando hasta los tres años [2].
El bebé se estira, patea y reacciona a los sonidos, y sus manos realizan movimientos de agarre [3]. Ahora ya puede mover cada brazo y pierna por separado, por lo que sus movimientos pueden dirigirse hacia toda dirección dentro del útero.
Los pulmones del bebé comienzan a producir surfactante, un líquido que protege las vías respiratorias. Gracias a esta sustancia, el bebé aprenderá a respirar de forma independiente al nacer [4].
Si tu pareja espera gemelos
¡Los bebés pueden verse el uno al otro por primera vez! En esta etapa, ambos tienen el iris azul, pero pronto sus ojos cambiarán al color dictado por sus genes. Si los gemelos son fraternos, es posible que no tengan el mismo color de ojos [5].
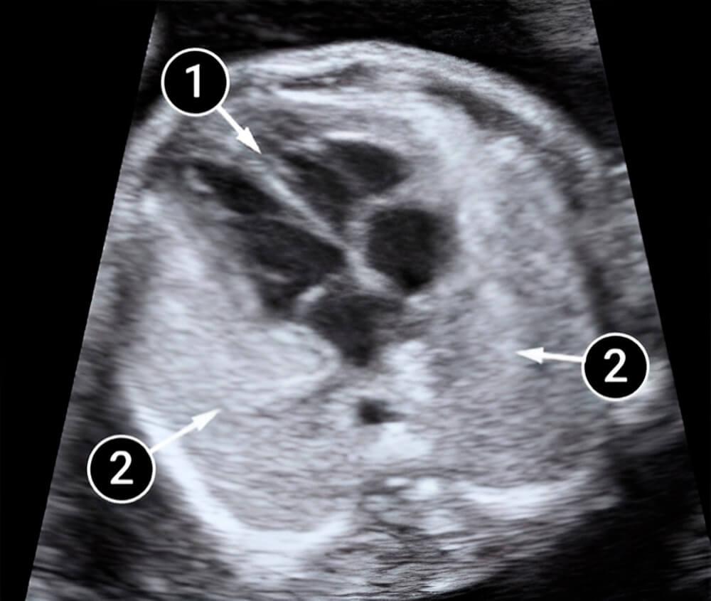
Lo que podemos ver en un ultrasonido
La imagen muestra una sección transversal del tórax. Los pulmones lucen blancos y el corazón es el área oscura en el medio de la imagen. El corazón ocupa casi un tercio del pecho. Se ven cuatro partes del corazón: dos aurículas y dos ventrículos, así como las separaciones entre ellos.




