¡El bebé está creciendo!
En un ultrasonido tridimensional, el embrión parece un renacuajo. ¡En este punto, una prueba de embarazo ya puede mostrar el tan esperado resultado positivo!
Los órganos vitales del bebé se empiezan a formar y él o ella comienza a recibir nutrientes a través del torrente sanguíneo de la madre. La sangre suministra nutrientes y oxígeno, a la vez que elimina desechos. Este es el inicio de la circulación uteroplacentaria [1].
La placenta está comenzando su maravilloso trabajo de proporcionarle sustento al bebé en crecimiento. Mientras el bebé se desarrolla, la placenta le permitirá:
respirar;
recibir nutrientes;
circular la sangre;
producir hormonas;
y suprimir el sistema inmunológico de la madre, hasta cierto punto, para evitar que por error considere al feto como un organismo extraño del que se debe defender.
Durante esta semana aparece una franja en la superficie del embrión que lo divide en dos partes. Este es el eje de simetría del cuerpo en desarrollo del bebé. Se diferencian la cabeza de la terminación del embrión, se determinan las superficies abdominal y dorsal y comienza a formarse la médula espinal. El embrión se pliega en dirección longitudinal y adquiere una forma curva. En esta etapa, el embrión también se conecta al saco vitelino. El sitio de conexión crecerá hasta convertirse en el cordón umbilical.
Esta semana, el sistema nervioso comienza a formarse y se establecen las bases de lo que será la piel, los músculos, los huesos, el tejido conectivo, los vasos sanguíneos y el corazón.
Esta semana también aparecen los inicios de los órganos internos. Casi al mismo tiempo, se crean el corazón y las glándulas genitales del feto; y un poco más tarde se empiezan a formar lo que serán el hígado, los pulmones, la tráquea, los intestinos, el páncreas y el riñón primario. En un feto masculino, se forman las glándulas sexuales (los testículos). Un poco más adelante estos comenzarán a sintetizar testosterona, la principal hormona sexual masculina, que asegurará el desarrollo del feto como tipo masculino. En ausencia de testosterona, el embrión se desarrollará como mujer.
Lo que podemos ver en un ultrasonido
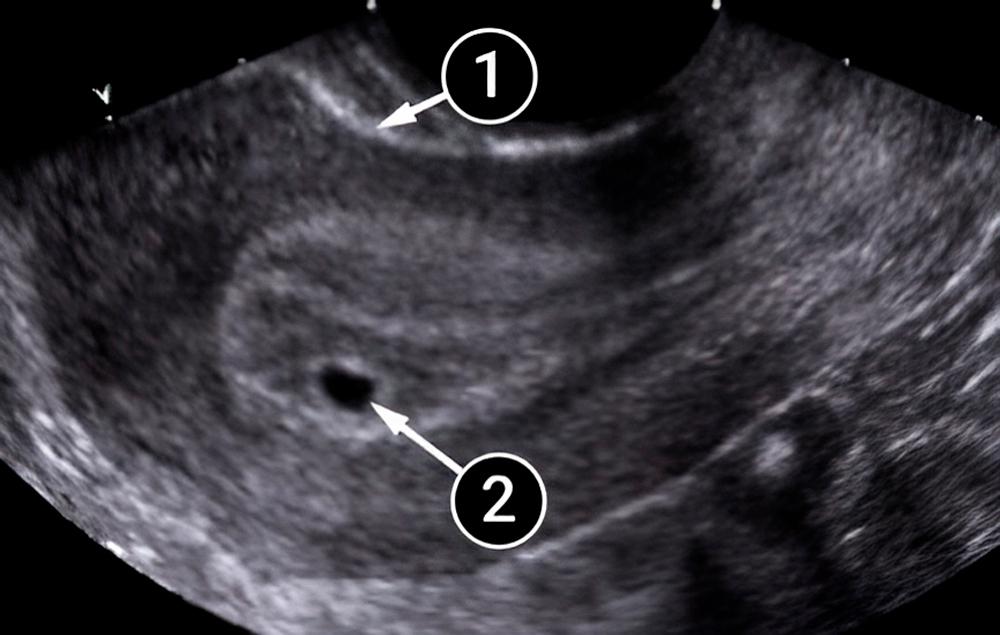
En la imagen inferior, se observa claramente el útero redondeado. En su interior se puede ver el saco amniótico rodeado por el endometrio. El saco amniótico es el óvalo oscuro con contornos claros ubicado en la parte inferior del útero, que se considera una de las posiciones más óptimas para el saco.
En la etapa actual del embarazo, el saco amniótico es todavía muy pequeño, sólo mide entre cinco y siete milímetros.
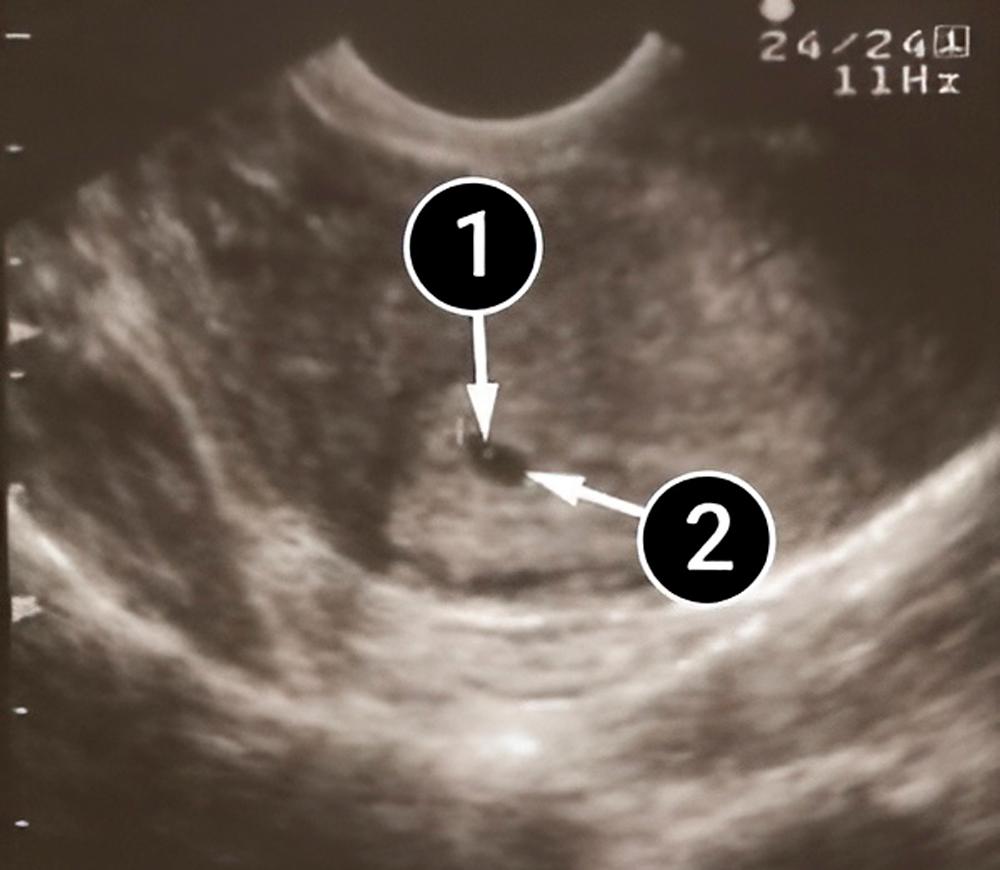
La siguiente fotografía muestra una vista longitudinal de un útero en forma de pera. Dentro de él se puede observar el saco amniótico, que es el pequeño óvalo negro. El contorno más claro que lo rodea es el endometrio. Las líneas de las paredes internas del útero siguen la misma forma de pera, creando un nido acogedor para el bebé.
útero
saco amniótico
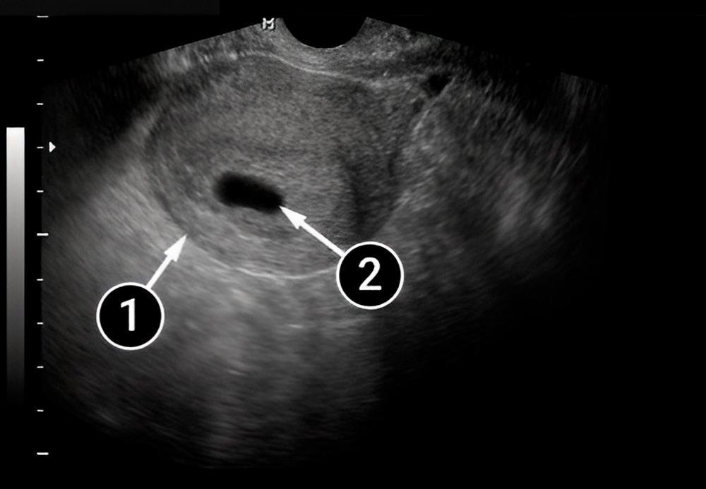
En esta imagen también se pueden ver el útero y el saco amniótico rodeados por el endometrio.
útero
saco amniótico
¡En esta imagen se ve el embrión! Es el pequeño punto blanco dentro del saco amniótico. El endometrio le proporciona nutrientes y sangre al feto.
el embrión
saco amniótico
Brewer S. The Pregnant Body Book. Dorling Kindersley Publishing Staff, 2012, p. 87, 98, 102.



