¡El bebé saluda!
Las manos y los pies del bebé se están desarrollando rápidamente esta semana. Las articulaciones de los dedos de las manos y los pies se desarrollan y separan. Ya puede mover las manos, agitar los brazos y doblar los codos y rodillas. Esta semana, la cola del feto desaparece [1].
Todos los órganos y sistemas principales del cuerpo continúan desarrollándose. Con los dos hemisferios ya formados, el cerebro se separa en sus tres partes principales [2]. En el sistema digestivo comienzan a formarse los intestinos, al igual que el hígado y el páncreas [3]. En el sistema respiratorio, la tráquea embrionaria se ramifica hacia los bronquios. Como parte del sistema endócrino, los riñones, las glándulas suprarrenales y los uréteres se desarrollan aún más.
Lo que podemos ver en un ultrasonido
En un ultrasonido, los movimientos del bebé pueden indicar si está dormido o despierto.
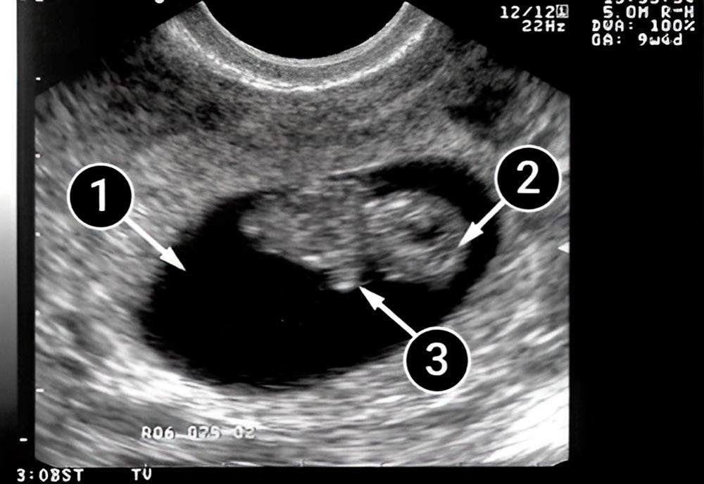
En la primera imagen, el óvalo grande y oscuro es el saco amniótico. Notemos la postura del bebé: está acostado con la espalda hacia la pared frontal del útero y podemos ver que su espalda se ha enderezado.
En esta etapa del embarazo, los huesos y los músculos esqueléticos del bebé se fortalecen. En esta imagen, sus brazos están presionados contra su pecho. Sus brazos siguen creciendo más rápido que sus piernas.
La cabeza del bebé se ve claramente y también se puede apreciar que se está haciendo más redonda.


