¿Cuándo comienza el embarazo?
Determinar la edad de un bebé en el vientre puede ser una labor complicada, no obstante, existen dos maneras para calcularla:
En términos obstétricos: el embarazo comienza el primer día de la última menstruación, y se conoce como edad gestacional.
En términos embriológicos: el embarazo comienza en la fecha de la ovulación, cuando la concepción es más probable. Como regla general, esto ocurre entre los días 12 y 16 del ciclo menstrual (28 días), y se llama edad embriológica.
La edad embriológica guarda una diferencia de 14 días con relación al conteo de la edad gestacional, sin embargo, y aunque la primera parece la más adecuada; es el punto de vista obstétrico el que se suele usar por los ginecólogos de todo el mundo [1]. Razón por la cual, es el método que usaremos en esta aplicación.
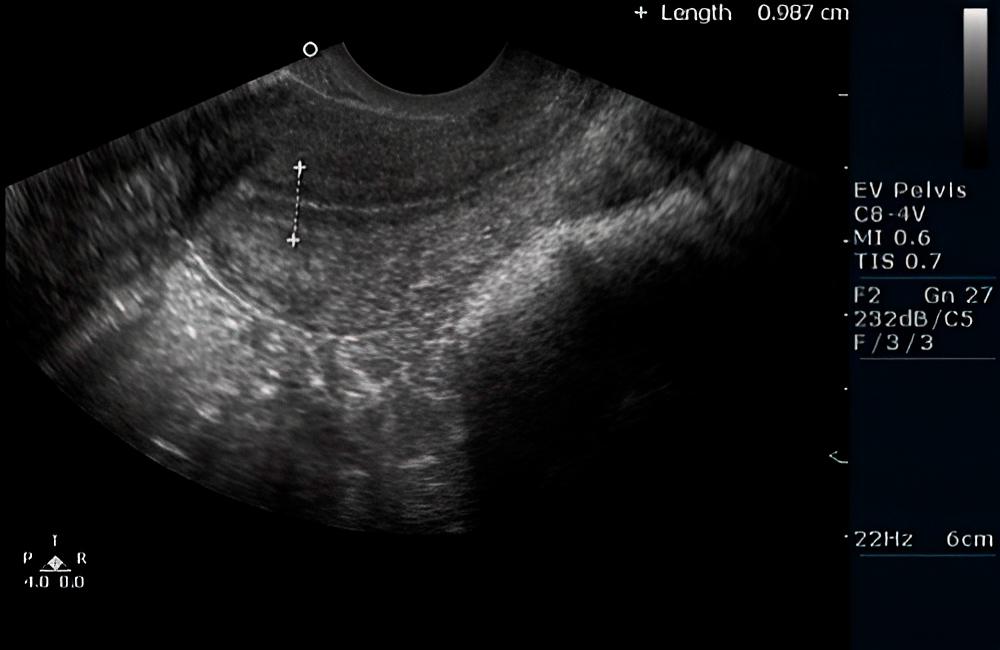
Lo que se puede observar en el ultrasonido/ecografía
Miremos el útero y los ovarios mientras se preparan para la fertilización.
La primera imagen fue tomada a la mitad del ciclo menstrual, el contorno oscuro del útero es claramente visible en la misma. Las áreas claras en la cavidad uterina son la membrana mucosa o endometrio. En la segunda fase del ciclo, la progesterona suaviza el endometrio para que un óvulo fertilizado pueda adherirse fácilmente a las paredes del útero.
La segunda imagen muestra los ovarios. La cavidad oscura redondeada es el folículo dominante. Por lo general, con cada ciclo menstrual, hay un solo folículo que está por delante de los demás en términos de crecimiento. Al abrirse, libera un óvulo que está listo para ser fertilizado. Pero en algunos casos, puede haber dos o incluso tres folículos dominantes. Esto hace que la posibilidad de tener un embarazo múltiple sea mucho mayor. Una hora después de su ruptura, el óvulo ingresa a la cavidad abdominal y de ahí pasa a las trompas de Falopio por medio de la Fimbria, donde se encontrará con los espermatozoides; de allí se desplaza, gracias a las contracciones musculares, hasta el útero.
En la tercera imagen, el ovario y el folículo dominante en maduración son visibles, y se asemejan a un óvalo oscuro e irregular. En el cuadrante izquierdo del folículo, parece que puede haber un tubérculo portador de óvulos, el cual constituye la base del futuro huevo.


![El bebé comienza a chuparse los dedos [1]](/_ipx/_/images/articles/4769.webp)

